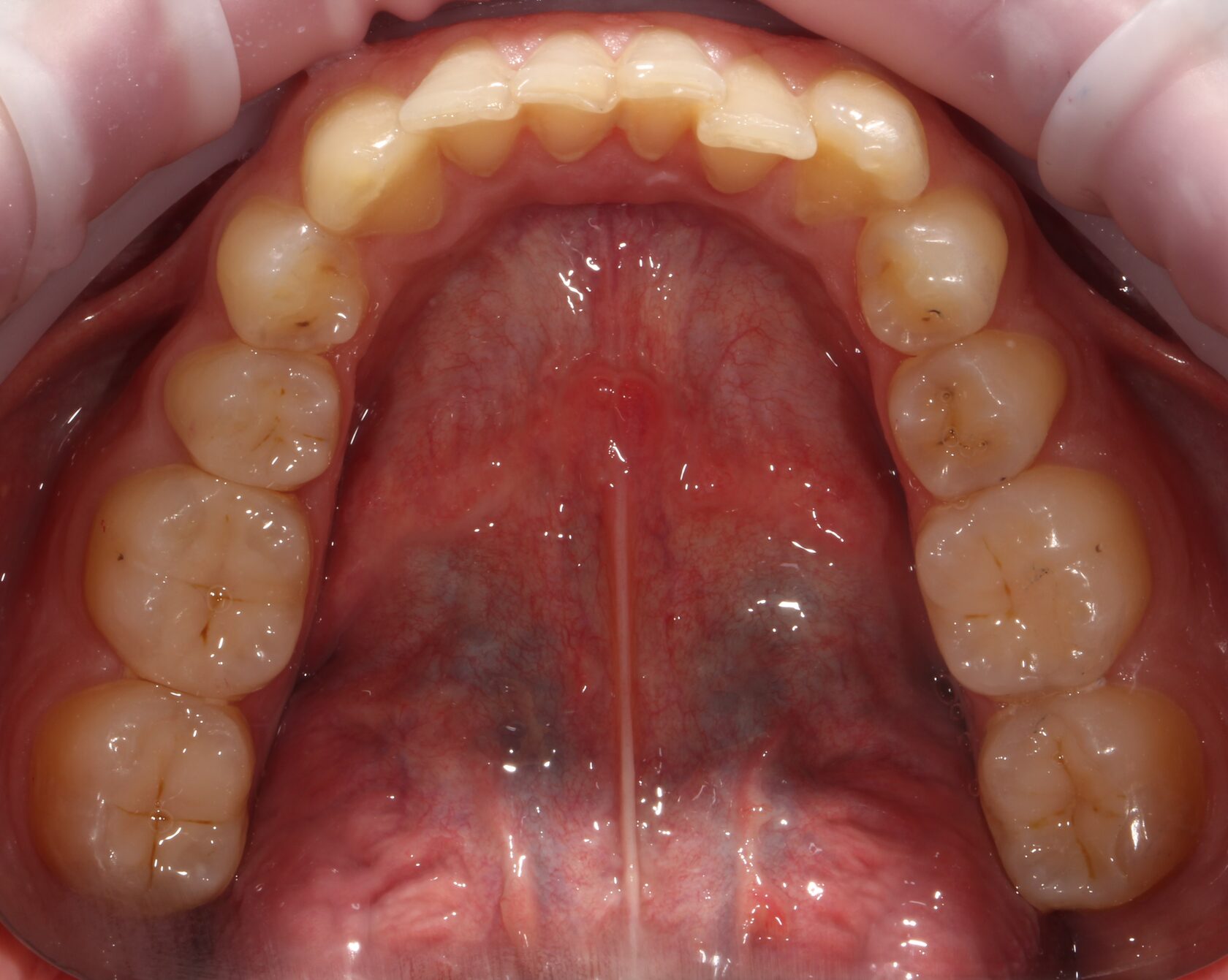
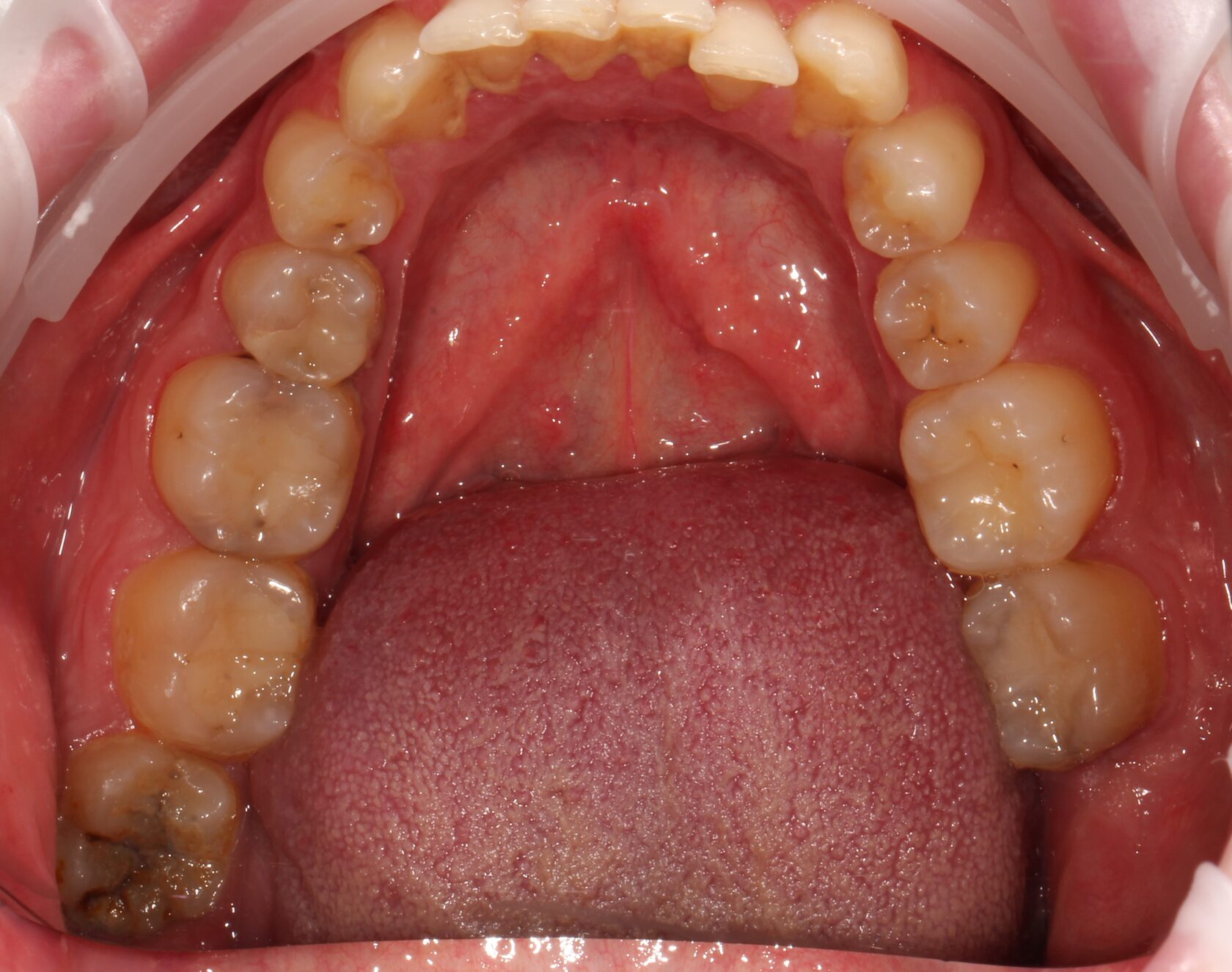
Результат комплексного лечения пациента командой врачей нашей клиники.
Выполнено:
1 Комплексная диагностика и планирование лечения.
2 Лечение всех зубов пораженных кариозным процессом и замена всех несостоятельных пломб.
3 Удаление зубов мудрости.
4 Установка дентальных имплантатов в зоны удаленных зубов.
5 Финальное рациональное протезирование с опорой на дентальные имплантаты.
6 Динамическое наблюдение с 2022 года.
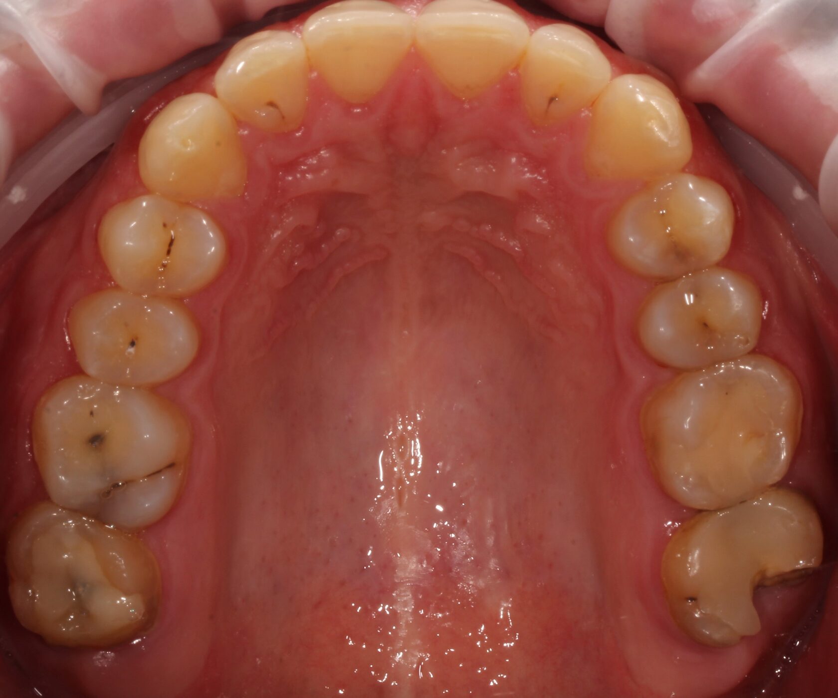
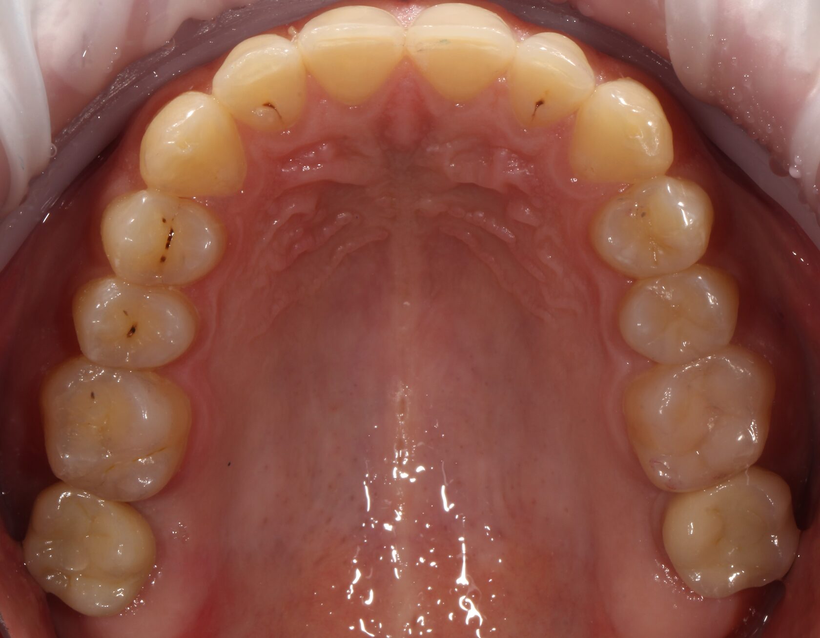
Выполнено:
1 Комплексная диагностика и планирование лечения.
2 Лечение всех зубов пораженных кариозным процессом и замена всех несостоятельных пломб.
3 Удаление зубов мудрости.
4 Установка дентальных имплантатов в зоны удаленных зубов.
5 Финальное рациональное протезирование с опорой на дентальные имплантаты.
6 Динамическое наблюдение с 2022 года.
