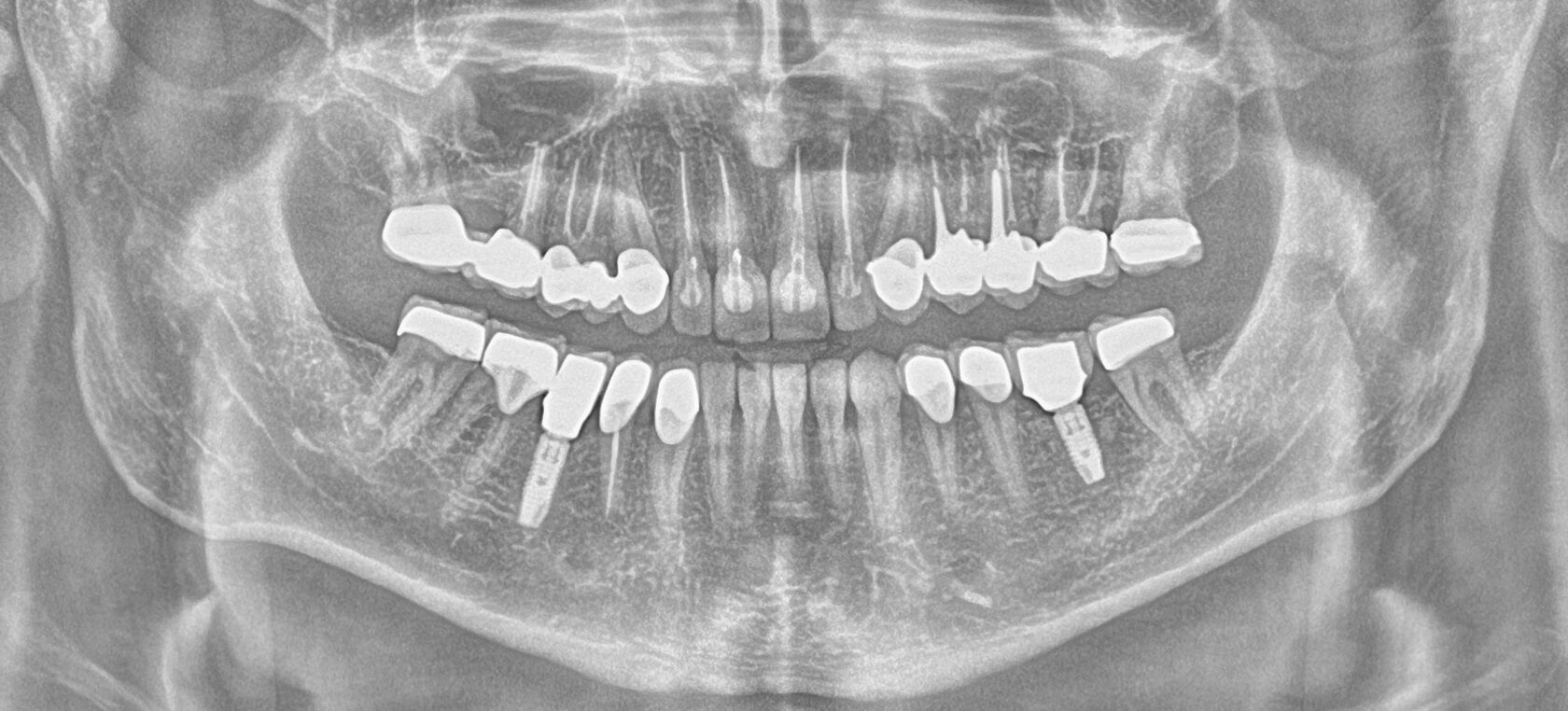
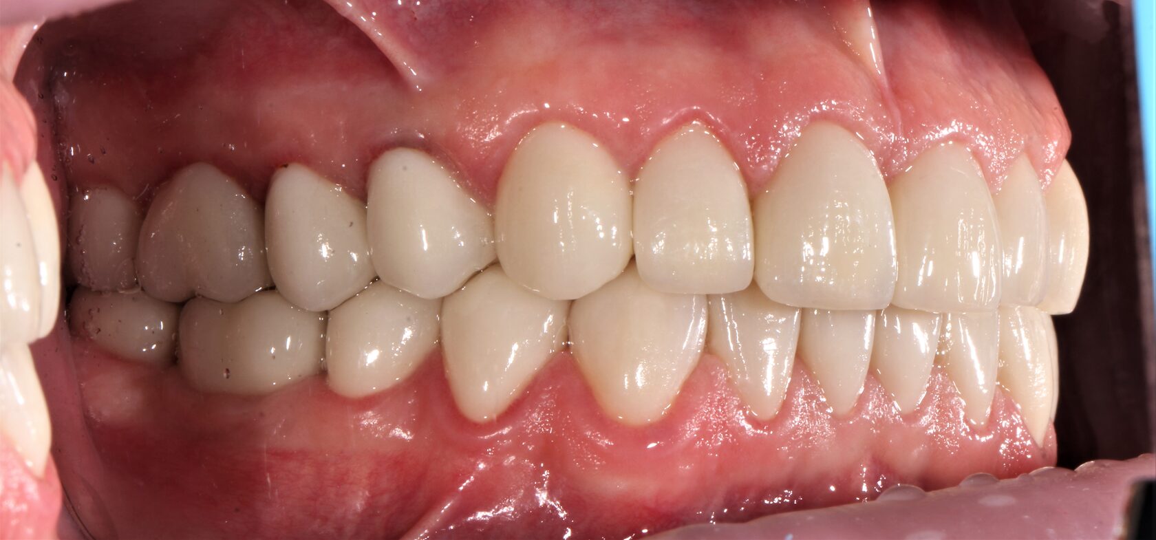
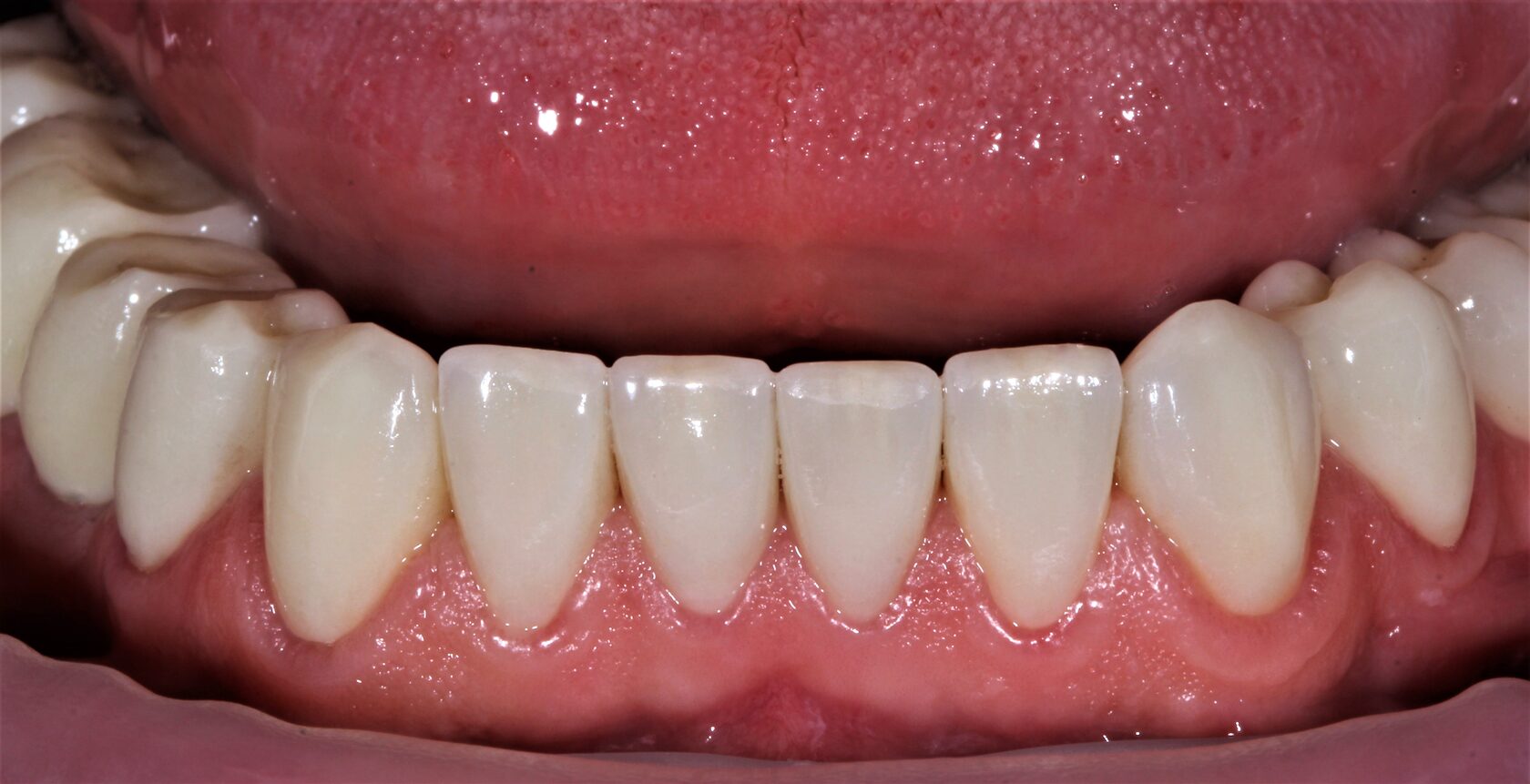
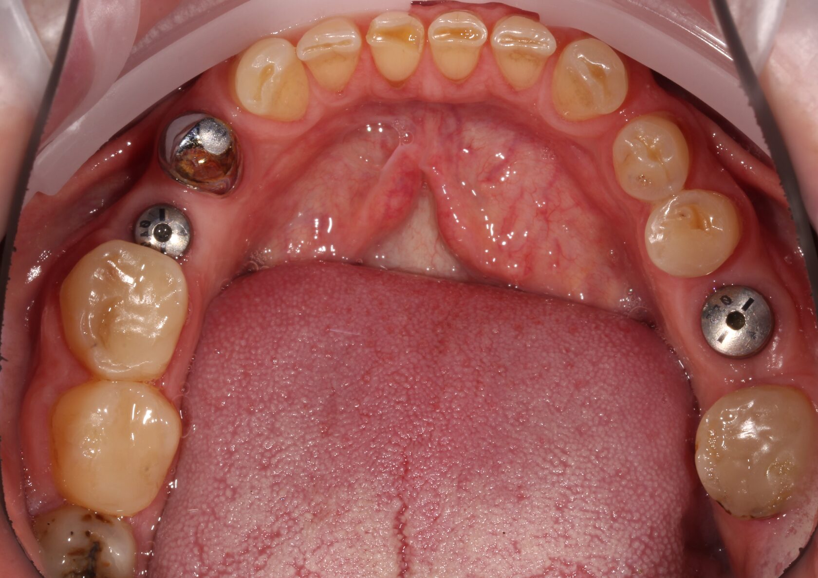
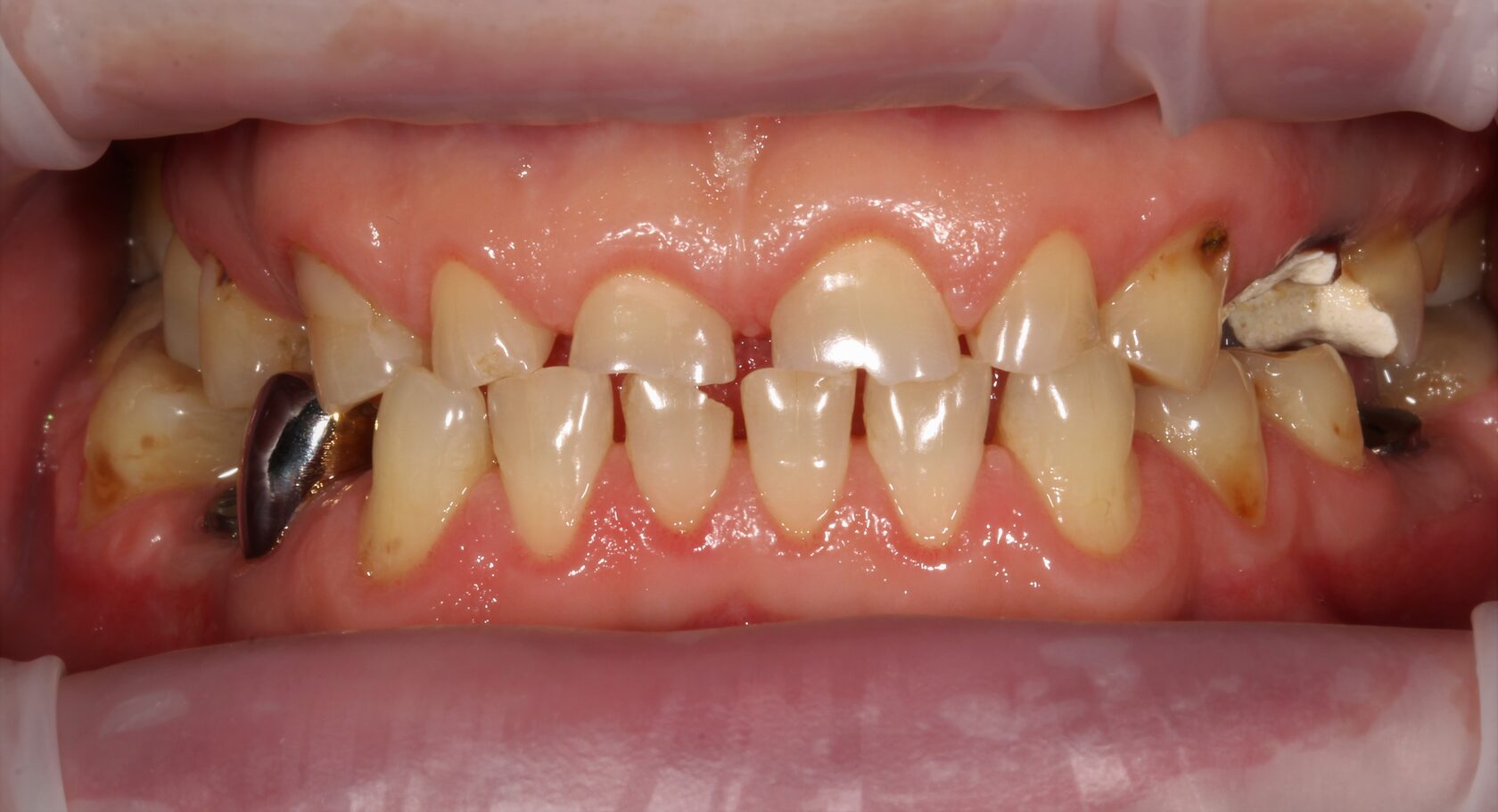
В данном клиническом случае представлена комплексная работа, состоящая из:
1 Терапевтический этап - лечение кариеса, подготовка корневых каналов и восстановление
культей зубов для установки коронок.
2 Хирургчий этап - удаление 2-х зубов с одномоментной дентальной имплантацией.
3 Сложное функционально-эстетическое протезирование (завышение прикуса на временных
коронках, стабилизация мышечного тонуса и позиции ВНЧС, перевод временных конструкций
в постоянные).
Длительность лечения составила более 1 год.
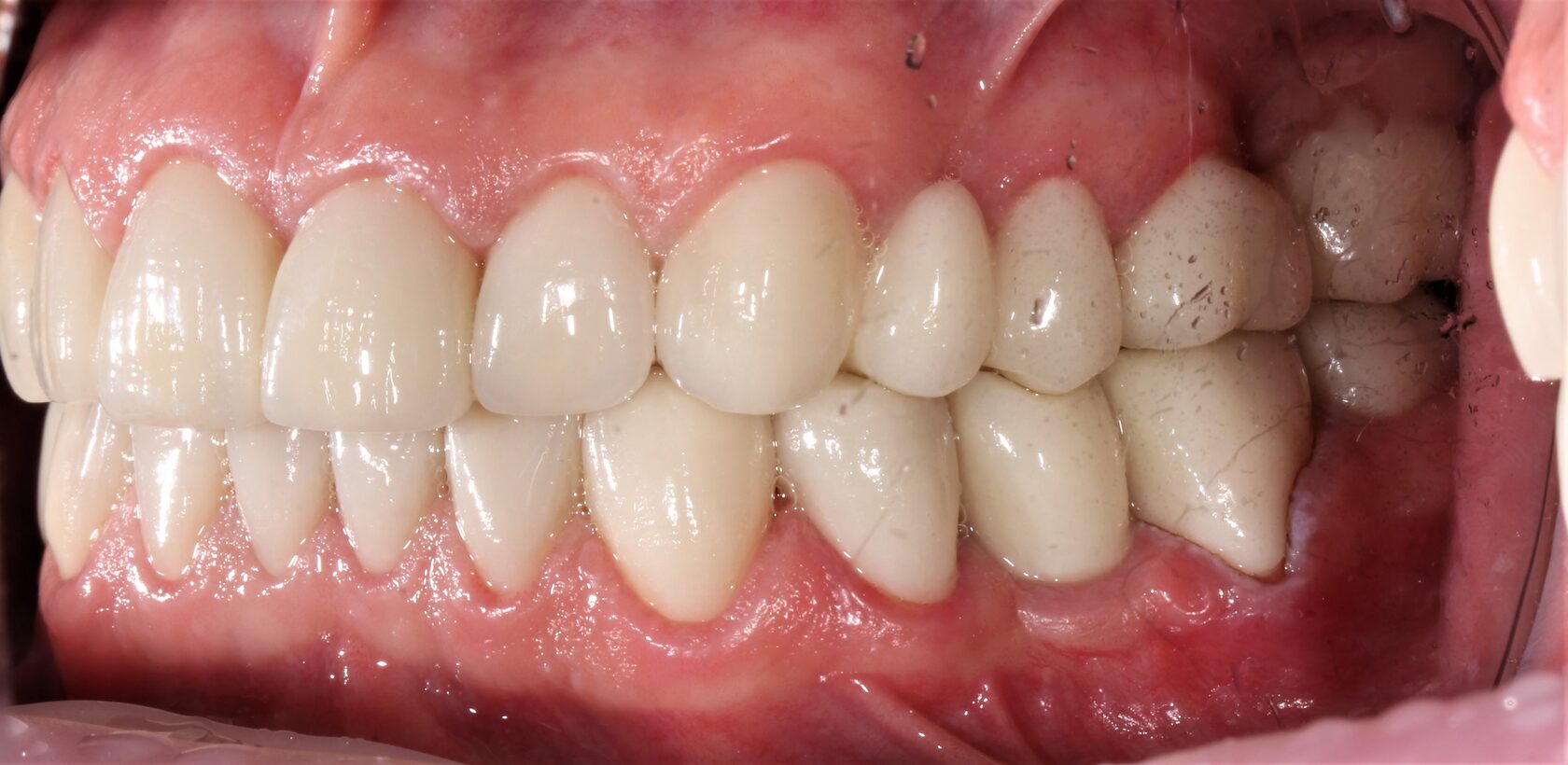
1 Терапевтический этап - лечение кариеса, подготовка корневых каналов и восстановление
культей зубов для установки коронок.
2 Хирургчий этап - удаление 2-х зубов с одномоментной дентальной имплантацией.
3 Сложное функционально-эстетическое протезирование (завышение прикуса на временных
коронках, стабилизация мышечного тонуса и позиции ВНЧС, перевод временных конструкций
в постоянные).
Длительность лечения составила более 1 год.
